Президиум Форума армянских союзов Европы организовал создание инициативной группы по защите Армянской Апостольской Церкви и христианства в Армении
Мы тут не причем: «Гражданский договор» прокомментировал уголовное преследование Аршака Хачатряна
Предстоятель епархии: Воскресную литургию в церкви «Сурб Йот Верк» в Гюмри совершат не служители епархии
В Москве прошел интеллектуальный конкурс для студентов Института востоковедения
Азербайджанцы повредили монастырь «Сурб Аменапркич» XVII века в Арцахе
Трамп выразил надежду, что сможет положить конец украинскому конфликту
Добыча полезных ископаемых — занятие не для глупых. «Паст».
Team Holding объявляет о начале размещения облигаций. Андеррайтером выступает Freedom Broker Armenia
Почему бывший министр обороны «заговорил сейчас»? «Паст».
«Почему стрелы были направлены именно в адрес “того, кто разнимает драку”. «Паст»
«Это издевательство над государственностью». «Паст»
Юнибанк первым в Армении выпустил бессрочные облигации
Спорное положение закона – политическая дубинка. «Паст»
Пашинян против Церкви: вместо борьбы с кризисом — борьба с Католикосом: «Паст»
Пашинян: Вопрос Нагорного Карабаха был решен в 1996 г, просто никто нам об этом не говорил
Bloomberg: ЕС поставляет в Нигерию запрещенные пестициды, вызывающие рак
Пашинян: В документах по Карабаху есть детали, которые способны вызывать международные проблемы
США приостановили прием иммиграционных заявлений из 19 стран после стрельбы у Белого дома
Рютте: Австралия и Новая Зеландия подключились к закупкам оружия для Украины
Проект «Россия с вами»: специальная партия гуманитарной помощи для переселенцев из Нагорного Карабаха доставлена в Эчмиадзин
Общество
Воспитанники Ucom Digital Lab продолжают получать высококлассное техническое обр...
Кандидатом в премьер-министры oт партии «Армянские Орлы» является Хачик Асрян
МИД Армении назвал провокацией пленение армянских солдат и потребовал вернуть их
МО Армении подтвердило пленение 6 армянских военнослужащих
Юнибанк и VISA дарят двухдневный отдых
Героические страницы истории. Сардарапатская битва и ее историческое значение
«Азербайджанские ВС обязаны без предусловий вернуться на исходные позиции» - Ваг...
«Трансформация будущего». Конференция TEDxMoskovyanStSalon
В Грузии произошло землетрясение, подземные толчки ощущались и в Армении
После запуска "Северного потока — 2" Украина освободится от "Газпрома"
Азербайджанцы заняли высоту в 6 км к северо-востоку от села Кут - «Razm.info»
Лукашенко и Алиев обсудили по телефону ситуацию на армяно-азербайджанской границе
“Teach for Armenia” и Ucom объединяют усилия для расширения возможностей обществ...
Наше отечество в опасности, приглашаю всех принять участие в церемонии общенацио...
На заседании СМИД ОДКБ среди прочих вопросов обсудят положение дел на армяно-азе...
В Новокузнецке 11 школьников отравились неизвестным газом
Банк ВТБ (Армения) обеспечил рекордную прибыль в 2 млрд драмов РА
"Это армянское блюдо, Алиев ошибся": в Армении пройдет юбилейный фестиваль толмы
В Белом доме назвали действия ВС Азербайджана на границе провокационными
Лавров назвал расследование взрывов во Врбетице позорным
Reset: Ремонт смартфонов, планшетов и мобильных модемов в UCOM
Новые услуги Visa Chatbot и Chatbot Consierge для держателей премиальных карт Vi...
Армения может стать интересной площадкой для российско-иранского сотрудничества
Армия Израиля заявила об ударе по домам и офисам членов ХАМАС
И снова Хачик Асрян и "Армянские Орлы"
Тигран Арзаканцян: «Нужно личным примером сплотить людей ради созидающих целей»
10% кешбэк по картам Visa IDBank-а по случаю дня семьи
Я применю все свое влияние и международные связи для применения всех возможных м...
Хачик Асрян: Убивать на месте азербайджанские банды, которые вооруженными пересе...
Наталья Ротенберг: мы готовы работать во имя Армении (ФОТО, ВИДЕО)
В Австралии билеты на рейс «в никуда» были распроданы за 2,5 минуты
Известны даты проведения единых экзаменов в Армении
Онлайн покупки в рассрочку через Банк ВТБ (Армения) и «Идеал Систем»
Япония запретила въезд иностранцев из Индии, Непала и Пакистана
В Генштабе ВС Армении опровергли слухи о госпитализации военнослужащих
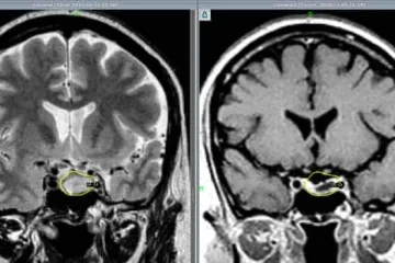
Армянские врачи удалили редко встречающиеся 3-килограммовые метастатические опух...
Последние посты учительницы, которая заслонила собой ребёнка и сразу погибла во ...
Союз Арцаха и Сюника: Борис Авагян присоединится к "Возрождающейся Армении"
Убивший 8 детей и двоих взрослых подросток, рассказывает почему он это сделал (V...
Этот 19 летний подросток сегодня безжалостно расстрелял 12 человек в школе, сред...
В Армении для сдачи вступительных экзаменов подали заявки 13360 абитуриентов
Ветеран ВОВ Рафик Кевеян: «Мне сегодня 95 лет. Но я в жизни не встречал такого, ...
Хачик Асрян: "Кто может претендовать на пост следующего премьер-министра Армении"
В МЦ «Астхик» сотрудничестве с благотворительным фондом «Вива» внедряют новый ме...
Микаэл Минасян: Либо мы победим смертоносный «николавирус», либо вирус окончател...
Ракета Falcon 9 со спутниками Starlink стартовала во Флориде
В Ереване предотвращена попытка самоубийства
Коронавирус в Армении: 9 новых смертей
Серж Саргсян: Победа дается достойным, кто лучше всех знает цену миру
В Сюнике будут построены новые дома для арцахцих резидентов
Вековая дружба армянского и русского народов: круглый стол с участием экспертов
1
В Русском доме в Ереване прошел круглый стол и презентация книги «Россия и Закавказье: история и кул...
2
Проект «Россия с вами»: специальная партия гуманитарной помощи для переселенцев из Нагорного Карабах...
3
В Москве прошел интеллектуальный конкурс для студентов Института востоковедения
4
Новый раздел в Idram&IDBank
5
Добыча полезных ископаемых — занятие не для глупых. «Паст».
6
Почему бывший министр обороны «заговорил сейчас»? «Паст».
7
«Это издевательство над государственностью». «Паст»
8
Team Holding объявляет о начале размещения облигаций. Андеррайтером выступает Freedom Broker Armenia
9
Итальянский пианист Антонио ди Кристофано выступит с сольным концертом в Ереване и проведет мастер-к...
10