Ներկայացվել է Solaris-ը՝ աշխարհի առաջին արևային էներգիայով աշխատող մոտոցիկլը
Միայն քպականների կյանքում պետք է «բան փոխվի», թոշակառուն ո՞վ է նրանց համար. «Փաստ»
Ինչո՞ւ է ՍԴ-ն խուսափում հարցին պատասխանել՝ անտեսելով օրենսդրական պահանջը. «Փաստ»
Իսկ բազմահազար մեր հայրենակիցներն էլ այլ բան են կարծում. «Փաստ»
Նախկինում Սամվել Կարապետյանն էր պահում շատ գործիչների հայանպաստ դիրքորոշման շրջանակներում. «Փաստ»
Ամեն ամիս ավելանում են կոմունալ ծախսերը․ ուժեղ տնտեսությամբ թեթևացնելու ենք մեր բոլորիս ծախսային բեռը․ Անդրանիկ Գևորգյան
Ես երազանք ունեմ կառուցել Հիսուս Քրիստոսի ամենամեծ արձանն Իռլանդիայում. Հայաստանն այժմ կառուցում է այն, որը հիանալի տեսք ունի. Քոնոր ՄաքԳրեգոր
Արարատի մարզի քրեական ոստիկանները Ոսկետափում հետախուզվողի են հայտնաբերել
Վրաստանի նախկին վարչապետ Ղարիբաշվիլին դատապարտվել է 5 տարվա ազատազրկման
Օպերատիվ միջոցառումների արդյունքում փաստաբանի մոտ հայտնաբերվել են թմրամիջոցների նմանվող զանգվածներ
Իրանում խաղաղ ցուցարարներին միացել են զինվшծ անձինք, որոնց նպատակն էր ավելացնել զnհերի թիվը, քանի որ Թրամփն ասել էր, որ այդ դեպքում կմիջամտի. Արաղչի
Մենք իշխանության լեգիտիմության հարցը լուծել ենք, իրավակարգի լեգիտիմության հարցը չենք լուծել. արդարությունն ու արդատությունը զգացողություն է, որը չունենք. Փաշինյան
Գործող իշխանությունների հականվաճումները, որոնք շատ մոտ ապագայում պարտադիր վերանայման անհրաժեշտություն ունեն․ Հայկ Ֆարմանյան
Ինչ է արել Կառավարությունը քո 65 մլն դոլարով․ Նարեկ Կարապետյան
Wednesday-ն ընդմիջում է վերցնում. Netflix-ը սիրված սերիալի վերադարձը հետաձգում է մինչև 2027 թվականը
Իրանի առաջնորդները ցանկանում են բանակցել, սակայն հնարավոր է, որ մենք ստիպված լինենք գործել մինչ հանդիպումը․ Թրամփ
2026 թվականի «Ոսկե գլոբուս»-ի կարևորագույն պահերը
Մենք ունենալու ենք ուժեղ Հայաստան․ մենք ունենալու ենք օրինական, ոչ թե կամայական պետություն․ Ռուբեն Մխիթարյան
Ալոնսոն մեկնաբանել է Իսպանիայի Սուպերգավաթի եզրափակչում «Բարսելոնայից» կրած պարտությունը
Ուկրաինային 800 միլիարդ եվրո տրամադրելը Եվրոպային կտանի տնտեսական փլnւզման. Օրբան Ժամանց
Պլանավորու՞մ եք հղիանալ. այս աղյուսակի միջոցով կարող եք գնահատել ձեր շանսերը տար...
Հայտնիների քույր-եղբայրներ, որոնց ոչ ոք դեռ չի տեսել
Իսկ դուք գիտեի՞ք, թե ի՞նչ են նշանակում «Վեներայի փոսիկները»
5 հայտնիներ, ովքեր նման են տիկնիկի. Առաջին տեղում Լիլի Մորտոն չէ
Ինչպես արագ և արդյունավետ ազատվել որովայնի ճարպից. միակ և հուսալի եղանակն է
Պարզվում է՝ որքան ուժեղ սրտխառնոց է ունենում կինը հղիության ընթացքում, այնքան բա...
Տղամարդու 4 գաղտնիք, որ յուրաքանչյուր կին պետք է իմանա
10 մթերք, որոնք խստիվ արգելված են հղիներին
Ինչպե՞ս են Հոլանդիայում հավաքում կանեփի բերքը
Կենդանակերպի 5 նշան, որոնց անմոռանալի ամառ է սպասում այս տարի
5 մթերք, որ կարող եք օգտագործել գիշերային ժամերին (Video)
Նոստրադամուսի 7 կանխագուշակությունները, որոնք սարսափեցնում են
Ռոբին Հուդ. բարեգործ ասպե՞տ, թե՞ ավազակ ու թալանչի
Ծերունին ամուսնացավ երիտասարդ աղջկա հետ. մեկ տարի անց նրան տարավ հիվանդանոց՝ ծնն...
Քաղցը՝ որպես հիվանդության նշան. ինչո՞ւ ես ցանկանում հաճախ ուտել
Ինչպիսին էր Մհերը տարիներ առաջ. երգիչը կիսվել է արխիվային լուսանկարով
Առաջինը ձեր աչքով ընկած բառն ունի յուրահատուկ նշանակություն. Իմացեք, թե ինչ հուշ...
Հայ հայտնիներ, ովքեր ծնող են դարձել 35 տարեկանից հետո, իսկ դուք գիտեք ովքեր են ն...
Ո՞վ է Մայա և Սոֆյա Պողոսյանների հմայիչ եղբայրը. փաստորեն այս ընտանիքում բոլորն ե...
Տաթևիկ Ադումյանը ցույց է տվել, թե ինչ յուրահատուկ ու օրիգինալ տեսքով է զբոսնում...
Կենդանակերպի նշաններ, ում հարաբերություններն ամենակրքոտն ու ուժեղն են
Առավոտյան քաղցած վիճակում սո՞ւրճ եք խմում. անպայման կարդացեք սա
Սիրուշոն հանդես է եկել իր յուրահատուկ և տարբերվող ոճով
Քրիստինե Պեպելյանը խորհրդավոր լուսանկար է հրապարակել
Այս աղջիկը կշռում էր 171 կգ, սակայն մոր խորամանկության արդյունքում նա հիմա բարեկ...
Ինչ է նշանակում մահացած մարդուն երազում տեսնելը
Նրա դուստրը պարզապես միացրեց տեսախցիկը. 1:20 րոպեին դուք ամբողջ մարմնով կփշաքաղվեք
Սա լավագույն սերմն է ընդդեմ անքնության, օստեոպորոզի, փորլուծության և բերանի տհաճ...
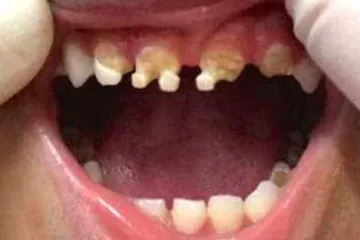
Այս հնարքը կօգնի սպիտակացնել դեղին ատամները, ինչպես նաև վերացնել նստվածքները և ա...
Ահա թե ինչու դուք պետք է ամեն օր խմեք 4 բաժակ սուրճ․ 6-րդ ինձ իսկապես զարմացրեց
Ընտանիքի անդամներից ոչ ոք չէր ցանկանում այս տղայի կողքը նստել` նրա արտաքին տեսքի...
Տղան իր այգում գտավ երկու շատ փոքր ձու և որոշեց օգնել ձագուկներին լույս աշխարհ գ...
Բժիշկները վստահեցնում էին այս կնոջը, որ նա «հրեշ» է ունենալու. մեկ տարի անց նա գ...
Երիտասարդը գտավ մաշված դրամապանակ. դուք անգամ պատկերացնել չեք կարող, թե ինչ պատմ...
Գնորդների բերանը զարմանքից բաց մնաց, երբ տեսան այս բազմոցը․ Նայելով այս ամենին, ...
Չտեսնված համեղ տնական հալվա. Համեմատելուց հետո այլևս չեք գնի և կպատրաստեք միայն ...
Ահա թե ինչու մուսուլմանները և հրեաները խոզի միս չեն ուտում. պարզվում է՝ դա պարզա...
Հարստության կոդը. ինչպես է ծննդյան տարեթիվը ազդում ձեր ֆինանսական վիճակի վրա
Անչափ դժվար գլուխկոտրուկ, քչերին է հաջողվում ճիշտ թիվն ասել. Քանի հեռախոս է հնար...
Գրեթե բոլորը վստահ են, որ սա սովորական, հին և ժանգոտած մեքենա է, բայց իրականում ...
Խոպանից ամուսինը գրում է. «Սիրելիս, այս ամիս գումար չկա, քեզ 100 համբույր եմ ուղ...
Չինաստանի բնակիչներից մեկը պարապ է մնացել և որոշել է հարսանեկան զգեստ կարել տանը...
Ամենախրթխրթան վարունգները՝ առանց ստերիլացման և քացախի
Կատուն իր համար ջուր էր խմում լճից, երբ հանկարծ նրա ետևում ինչ-որ մեկը փռշտաց․ Ա...
Ինչպե՞ս վառել սովորական լուցկին առանց նրա տուփի․ Սա իսկական հրաշք է
Երբ ձկնորսը որոշեց կերակրել սոված թռչուններին, նա անգամ չէր էլ պատկերացնում, թե ...
Ինքնահավան մարզված տղամարդը բավականին ինքնավստահ մոտեցավ սեղանին․ Այն ինչ եղավ վ...
Աղջկը կայանատեղիում դիմեց խորամանկության և վրեժխնդիր եղավ բոլոր կանանց փոխարեն՝ ...
Ժյուրիի անդամները հանկարծակիի եկան՝ տեսնելով բեմ դուրս եկած 4 տարեց կանանց. Երբ ...
Ձկնորսը զգաց, որ իրեն ինչ-որ մեկը հետևում է․ Մի քանի վայրկյան անց նա հասկացավ, ո...
ԱՄՆ-ը Թուրքիային չի առաջարկել ընդունել Մադուրոյին․ Ֆիդան
1
Երևանի Շտապբուժօգնությունը ձեռք է բերել 2025 թվականի արտադրության 7 նոր «Mercedes-Benz» մակնիշի շտապ...
2
Գյումրիից հիվանդին Երևան տեղափոխող շտապօգնության ավտոմեքենան վթարի է ենթարկվել և հայտնվել ձնակույտու...
3
Կրասնոյարսկի երկրամասում միկրոավտոբուսի և բեռնատարի բախման հետևանքով 11 մարդ է վիրավnրվել
4
2016 թ.-ից մինչև 2025 թ. հունվարի 1-ը սեփականատիրոջ միջոցներից ընկերության աշխատակիցներին տրամադրվել...
5
Ռուսաստանը չի ընդունի արևմտյան որևէ ռшզմական կnնտինգենտի ներկայություն Ուկրաինայում․ Մեդվեդև
6
Նարե Գևորգյանի նոր ֆոտոշարքը
7
Երբ ՀԷՑ-ը գտնվում էր Սամվել Կարապետյանի կառավարման ներքո, մենք շատ լավ կարողանում էինք գնահատել ռիսկ...
8
Դարձեք Հայաստանի 100 լավագույն ուսանողներից մեկը և 1 տարվա ուսման վարձը կստանաք որպես պարգևատրում. Գ...
9
Սամվել Կարապետյանը ֆինանսական աջակցություն է տրամադրել «Արցախն իմ սրտում» սոցիալ-բարեգործական հիմնադ...
10